What is failed knee surgery?
After an initial knee surgery if patient experience one of the following symptoms, it could be considered as a failure of the initial knee surgery.
- Persisting or increasing pain after initial surgery limiting daily activities
- Stiffness in the joint causing significant disability
- Loosening of the knee implants
- Infection of the joint
- Locking of the joint or inability to freely move the joint.
- Re-rupture of the reconstructed knee ligament
Tags
What are the tests done to confirm the cause for failure of initial surgery?
Apart from initial examination, doctor may ask for one or more of the following tests to ascertain the cause for failure of initial surgery.
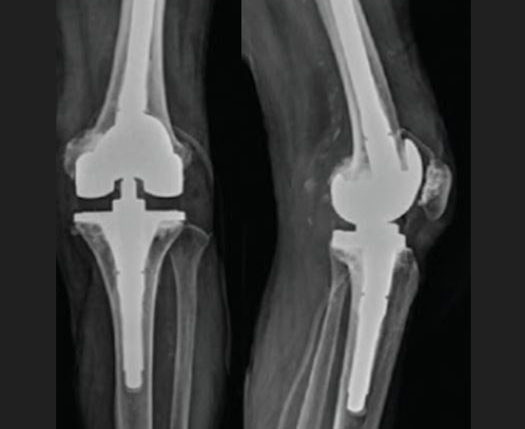
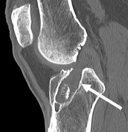
X-rays can detect loosening and osteolysis (bone erosion), as well as component wear, fracture, and malposition.
MRI scans can help in detecting loosening, and condition of the reconstructed ligament.
Nuclear scans can aid in detecting loosening and infection. If infection is suspected, aspiration of the fluid is mandatory to attempt to confirm the diagnosis and identify the micro-organism.
What are the reasons for failure of ligament reconstruction?
The main reasons a patient might need a revision ligament reconstruction include:
- Re-injury to the ligament due to a repeat trauma
- Improper tunnel placement during initial surgery which can lead to gradual ligament tear
- Failure of the reconstructed ligament to heal properly
Why do implants fail?
Implants may fail because of one or more of the following reasons.
Infection: In joint replacement, the foreign metal and plastic implants can serve as a surface for the bacteria to latch onto, inaccessible to antibiotics. With current surgical techniques and antibiotic regimens, the risk of infection from joint replacement is less than 1%.
Wear and Loosening: Friction caused by the joint surfaces rubbing against each other wears away the surfaces of the implant, creating tiny particles that accumulate around the joint. In a process called aseptic (non-infected) loosening, the bond of the implant to the bone is destroyed by the body's attempt to digest the wear particles.
Instability: Instability occurs when the soft-tissue structures around the knee are unable to provide the stability necessary for adequate function during standing or walking. Pain and/or a sense of “giving away” of the knee may alter knee function and require revision surgery.
Fractures: The type and extent of the fracture will determine if revision surgery is needed. Fractures that disrupt the fixation or the stability of the implant may require revision surgery.
What are the treatment options for failed knee surgery?
When ligament failure occurs, it is necessary to perform a ligament revision procedure. Revision surgery requires specialized techniques and instrumentation.
Depending on why your previous ACL reconstruction surgery failed or how the new graft was re-injured, revision ACL will vary and may be performed in conjunction with other operations, such as realignment of the lower limb.
Also, one has to understand that ACL revision rehabilitation programs tend to be more conservative and advance slower to give the best chance for the ACL graft to heal.
When a knee replacement fails, treatment depends on the cause of failure. Each case is unique and if there is more than the usual amount of bone loss extra pieces of metal or bone are added during revision knee replacement.
When infection is the cause for failure of knee replacement, removal of the infected implants and eradication of the infection is done in first stage. After an interval of 6 to12 months a second procedure i.e second stage revision knee surgery is done.
For further more details, contact Dr.Raj Kanna has a best experience in Failed knee surgery of affordable cost in Chennai.
